|
 |
> ÀϹÝÁø·á > ÃæÄ¡Ä¡·á |
|
|
 |
 |
 |
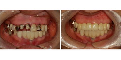
| ¾Õ´Ï ÃæÄ¡ |
|
|
 |
| ÃæÄ¡Ä¡·á¿Í Ä¡¾Æ¼º... |
|
|
 |
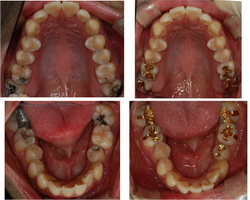
| ±ÝÀη¹ÀÌ¿Í Å©¶ó¿î |
|
|
 |
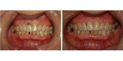
| ÃæÄ¡Ä¡·á Àη¹ÀÌ¿Í ... |
|
|
|
 |
ÃæÄ¡(Ä¡¾Æ¿ì½ÄÁõ)´Â Ä¡¾Æ°¡ ºÎ½ÄµÇ¾î ¼Õ»óµÇ´Â °ÍÀ» ¸»Çϸç Ä¡¾Æ¿¡ °¡Àå ¸¹ÀÌ »ý±â´Â ÁúȯÀÔ´Ï´Ù. Ä¡¾Æ°¡ ºÎ½ÄµÇ´Â °¡Àå Å« ¿øÀÎÀº À½½Ä¹° ¼·Ãë ÈÄ Ä¡¾Æ¿¡ ³²¾Æ ÀÖ´Â À½½Ä Â±âÀÇ Åº¼öȹ°À» ±¸°³» ¼¼±ÕÀÌ ºÐÇØÇÏ¸é¼ »ý±â´Â »êÀ̶ó°í ÇÒ ¼ö ÀÖ½À´Ï´Ù.
Ä¡¾Æ´Â Çѹø ¼Õ»óµÇ¸é ÀÌÀüó·³ ȸº¹µÇÁö ¾ÊÀ¸¹Ç·Î ¿¹¹æÀÌ °¡Àå Áß¿äÇÕ´Ï´Ù. µû¶ó¼ ½Ä»ç ÈÄ ¿Ã¹Ù¸¥ ÀÕ¼ÖÁú·Î Ä¡¾Æ¿¡ ³²¾ÆÀÖ´Â À½½Ä Â±â¸¦ Á¦°ÅÇÏ´Â °ÍÀÌ ÃæÄ¡¸¦ ¸·´Â °¡Àå ÁÁÀº ¹æ¹ýÀÔ´Ï´Ù.
±×·¯³ª ÀÌ¹Ì Ä¡¾Æ¿ì½ÄÁõÀÌ ¹ß»ýÇÑ °æ¿ì¶ó¸é »¡¸® Ä¡·áÇÏ´Â °ÍÀÌ ÁÁ½À´Ï´Ù. Ä¡·á½Ã±â°¡ ³Ê¹« ´Ê°Ô µÇ¸é Ä¡¾Æ¸¦ »Ì¾Æ¾ß ÇÒ ¼öµµ Àֱ⠶§¹®ÀÔ´Ï´Ù.
|
| ÃæÄ¡Ä¡·á´Â ÀϹÝÀûÀ¸·Î Ä¡¾Æ¿¡¼ ÃæÄ¡¿¡ ÀÌȯµÈ ºÎÀ§¸¦ Á¦°ÅÇϰí ÀΰøÀûÀÎ Àç·á·Î Á¦°ÅµÈ ºÎÀ§¸¦ º¸ÃæÇÏ¿© ¿ø·¡ÀÇ Ä¡¾Æ ÇüÅ·Π¸¸µé¾î ÁÖ´Â °ÍÀ» ¸»ÇÕ´Ï´Ù. ÃæÄ¡Ä¡·á´Â ÀÌ ÀΰøÀûÀÎ Àç·á¿¡ µû¶ó ºÐ·ù°¡ µÇ¸ç Àç·á¿¡ ´ëÇÑ Æ¯Â¡, Ä¡¾ÆÀÇ »èÁ¦Á¤µµ, ±×¸®°í ºñ¿ë µîÀ» °í·ÁÇÏ¿© ¼±ÅÃÇÏ¿©¾ß ÇÕ´Ï´Ù.
|
 |
| ±ÝÀº º¯»ö°ú ºÎ½ÄÀÌ ¾ø°í, ÀÎü¿¡ ¹«ÇØÇϸç ÀÚ¿¬Ä¡¾Æ¿Í °µµ°¡ ºñ½ÁÇÏ°í ¾Ã´Â ÈûÀ» Á÷Á¢¹Þ¾Æµµ ¹®Á¦°¡ ¾ø´Ù´Â ÀåÁ¡ÀÌ ÀÖ½À´Ï´Ù. Ä¡¾ÆÀÇ ¼Õ»ó ¹üÀ§°¡ ³Ð¾îµµ Ä¡·á°¡ °¡´ÉÇÏ°í ´Ù¸¥ Àç·áº¸´Ù ¼ö¸íÀÌ ±æ´Ù°í ÇÒ ¼ö ÀÖ½À´Ï´Ù.
±×·¯³ª ´«¿¡ Àß ¶ç´Â°Ç ½É¹ÌÀûÀÎ ¸é¿¡¼ ´ÜÁ¡À̶ó ÇÒ ¼ö ÀÖ½À´Ï´Ù.
|
 |
| ·¹Áø Àη¹ÀÌ´Â Ä¡¾Æ»ö°ú À¯»çÇÏ°Ô Á¦ÀÛÇÒ ¼ö Àֱ⠶§¹®¿¡ ½É¹ÌÀûÀÎ ¸é¿¡¼ ¿ì¼öÇÏ¸ç ¶ÇÇÑ ±Ý Àη¹ÀÌ¿Í À¯»çÇÑ °µµ¸¦ °¡Áö°í ÀÖ½À´Ï´Ù. ±×·¯³ª ±Ý Àη¹ÀÌ¿¡ ºñÇØ ¸¶¸ð°¡ Àß µÇ°í º¯»öµÇ±â ½¬¿ö¼ ¼ö¸íÀÌ Á» ªÀº °ÍÀÌ ´ÜÁ¡ÀÔ´Ï´Ù.
Àη¹ÀÌ Ä¡·á´Â ÃæÀü¹°À» ±¸° ¹Û¿¡¼ Á¦ÀÛÇϱ⠶§¹®¿¡ Àλó 䵿À̶ó´Â °úÁ¤À» ½ÃÇàÇϸç ÃÖ¼Ò 2¹ø º´¿ø¿¡ ³»¿øÇÏ°Ô µË´Ï´Ù.(ù¹øÂ° ³»¿ø ½Ã ÃæÄ¡Á¦°Å ¹× Àλó䵿, µÎ ¹øÂ° ³»¿ø ½Ã Á¦ÀÛµÈ ÃæÀü¹° Á¢Âø)
|
 |
| ÀÌ Ä¡·á¹ýÀº Ä¡¾ÆÀÇ ÃæÄ¡·Î ÀÌȯµÈ ºÎºÐ¸¸À» Á¦°ÅÇϰí Ä¡¾Æ»öÀ» ³ªÅ¸³»´Â ÄÄÆÛÁöÆ® ·¹ÁøÀ» ±¸°³»¿¡¼ Á÷Á¢ ÃæÀüÇÏ´Â Ä¡·á¹ýÀ¸·Î ȯÀÚºÐÀÌ 1ȸ ³»¿ø¸¸À¸·Î Ä¡·á¸¦ ³¡³¾ ¼ö ÀÖÀ¸¸ç Ä¡¾Æ¸¦ ÃÖ¼ÒÇÑ Àû°Ô »èÁ¦ÇϹǷΠ¸Å¿ì º¸Á¸ÀûÀÎ Ä¡·á¹ýÀ̶ó ÇÒ ¼ö ÀÖ½À´Ï´Ù. ±×·¯³ª ±¤¹üÀ§ÇÑ ÃæÄ¡¿¡ ½Ã¼úÇÑ °æ¿ì ½Ã¸° Áõ»óÀÌ Áö¼ÓµÇ´Â ºÎÀÛ¿ëÀÌ »ý±æ ¼ö Àֱ⠶§¹®¿¡ ÀÌ·± °æ¿ì¿¡´Â Àη¹ÀÌ Ä¡·á¸¦ ±ÇÀåÇÕ´Ï´Ù.
|
*¾Æ¸»°¨
¾Æ¸»°¨Àº Ä¡°ú¿ë ÀºÇձݿ¡ ¼öÀºÀ» ¼¯¾î¼ ¸¸µå´Â ÃæÀüÀç·á·Î¼ »ç¿ë»óÀÇ Æí¸®¼º°ú ºñ¿ë ¶§¹®¿¡ °ú°Å Ä¡°ú¿¡¼ ¸¹ÀÌ »ç¿ëµÇ¾ú½À´Ï´Ù. ÇÏÁö¸¸ ÇöÀç ¼öÀºÀÇ ÀÎü À¯Çؼº ³í¶õÀÌ ÀÖ´Â »óÅÂÀÔ´Ï´Ù. ¶ÇÇÑ ¾Æ¸»°¨Àº ±¸°³»¿¡¼ ºÎ½Ä µÇ¾î¼ ±úÁö±â ½±°í ÀÌÂ÷ ¿ì½ÄÁõÀ» ¹ß»ý½Ãų ¿ì·Á°¡ Àֱ⠶§¹®¿¡ ¿µ±¸ ÃæÀü Àç·á·Î´Â ºÎÀûÇÕÇÕ´Ï´Ù.
|
|
|
|
|