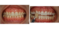
| Ä¡¾Æ¸¦ ±ï¾Æ³»°Å³ª º¯ÇüÀ» ÁÖÁö ¾Ê°í Ä¡¾Æ¸¦ ÇϾé°Ô ¸¸µå´Â ¼ú½ÄÀ» Ä¡¾Æ¹Ì¹é¼úÀ̶ó°í ÇÕ´Ï´Ù. ´ëºÎºÐÀÇ º¯»öÀº Ä¡¾Æ ¹Ì¹é¼ú·Î ÇϾé°Ô ¸¸µé ¼ö ÀÖÀ¸¸ç ¾à¹°¿¡ ÀÇÇÑ º¯»öµî ¾ÆÁÖ µå¹® °æ¿ì¿¡´Â ´Ù¸¥ ¹æ¹ýÀ» º´ÇàÇÏ´Â °ÍÀÌ ÁÁ½À´Ï´Ù.
ÇϾá Ä¡¾Æ¸¦ µå·¯³»¸ç ÀÚ½ÅÀÖ°Ô ¹à°Ô ¿ô´Â ¸ð½ÀÀº ´Ù¸¥ »ç¶÷µé¿¡°Ôµµ È£°¨À» ÁÖ¸ç ÁÁÀº ùÀλóÀ» ³²±â°Ô µË´Ï´Ù.
|
 |
 |
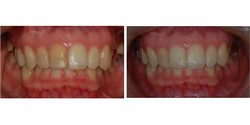
1) ¼±ÃµÀûÀ¸·Î Ä¡¾Æ°¡ ³ë¶õ °æ¿ì
»ç¶÷µéÀÌ ÇǺλöÀÌ ´Ù¾çÇϵí Ä¡¾Æ »öµµ ´Ù¾çÇÕ´Ï´Ù. ¼±ÃµÀûÀ¸·Î ¾à°£ ³ë¶õ Ä¡¾Æ¸¦ °¡Áø ºÐµéÀº Ä¡¾Æ ¹Ì¹éÀ» ÅëÇØ ÇϾá Ä¡¾Æ¸¦ °¡Áö½Ç ¼ö ÀÖ½À´Ï´Ù.
|
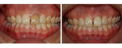
2) ¾à¹°¿¡ ÀÇÇÑ º¯»öÀÌ ÀÏ¾î³ °æ¿ì
Ä¡¾Æ°¡ »ý¼ºµÇ°í ÀÖ´Â ¾î¸° ³ªÀÌ¿¡ ¾î¶² ÀÌÀ¯·Î ÀÎÇØ¼ ¾à¹°À» º¹¿ëÇÑ °æ¿ì ±× ¾à¹°ÀÌ Ä¡¾ÆÇü¼º¿¡ ¿µÇâÀ» ÁÖ¾î º¯»öÀ» ÀÏÀ¸Å³ ¼ö ÀÖ½À´Ï´Ù. ÀÌ °æ¿ì Ä¡¾Æ ¹Ì¹é°ú Ä¡¾Æ ¹Ì¼¼ ¿¬¸¶¼úÀ» µ¿¹ÝÇϸé ÁÁÀº °á°ú¸¦ ¾òÀ¸½Ç ¼ö ÀÖ½À´Ï´Ù.
|
 |
| Ä¿ÇÇ, ´ã¹è, ³ìÂ÷ µî ¿©·¯ °¡Áö À½½Ä¹°µé¿¡´Â »ö¼Ò°¡ µé¾îÀÖ½À´Ï´Ù. ÀÌ·¯ÇÑ »ö¼Ò°¡ Ä¡¾Æ¿¡ Ä§ÂøµÇ¾î º¯»öÀ» ÀÏÀ¸Å³ ¼ö ÀÖ½À´Ï´Ù. ÀÌ °æ¿ì ½ºÄÉÀϸµ°ú Ä¡¾Æ ¹Ì¹éÀ» µ¿¹ÝÇϸé ÁÁÀº °á°ú¸¦ ¾òÀ¸½Ç ¼ö ÀÖ½À´Ï´Ù.
|
| Ä¡¾Æ°¡ ¿À·¡Àü Ãæ°ÝÀ» ¹Þ¾Ò°Å³ª ¶Ç´Â ´Ù¸¥ ¾î¶² ÀÌÀ¯·Î Ä¡¾Æ³»ºÎ¿¡ ÀÖ´Â ½Å°æÀÌ Á×¾î ±«»ç¸¦ ÀÏÀ¸Å³ ¼ö ÀÖ°í ÀÌ °æ¿ì Ä¡¾Æ´Â ¾îµÎ¿î »öÀ¸·Î º¯»öÀÌ µË´Ï´Ù. ÀÌ·¯ÇÑ °æ¿ì¿¡´Â ½Å°æÄ¡·á¿Í ¹Ì¹éÀ» µ¿¹ÝÇϽøé ÇϾá Ä¡¾Æ¸¦ µÇãÀ¸½Ç ¼ö ÀÖ½À´Ï´Ù. |