¼­¿ï ÇÏÀÌ¾È Ä¡°ú ³×Æ®¿öÅ©¿¡ ¿À½Å°É ȯ¿µÇÕ´Ï´Ù

ÀÓ

ÇÃ

¶õ

Æ®

Ä¡

¾Æ

±³

Á¤

Ä¡

¾Æ

¹Ì

¹é

 > Àü¹®Áø·á > Ä¡¾Æ±³Á¤
´Ù¼ö Ä¡¾Æ»ó½Ç°ú ÃÑ...
 
ÀüÄ¡ºÎ ÃÑ»ý, Ä¡Ãà ...
 
±Þ¼Ó±¸°³È®ÀåÀ» Åë...
 
ÀüÄ¡ºÎ ÃÑ»ý °³¹æ±³...
 

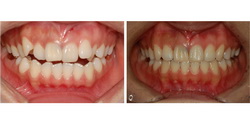
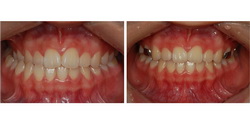
°¡Áö·±ÇÑ Ä¡¾Æ´Â ¾Æ¸§´Ù¿î ¹Ì¼Ò¸¦ ¸¸µé¾î ÁÙ »Ó¸¸ ¾Æ´Ï¶ó Àڽۨµµ ºÒ¾î³Ö¾î ÁÝ´Ï´Ù. ±×¸®°í ±â´ÉÀûÀ¸·Îµµ ¸ðµç Ä¡¾Æ°¡ °í¸£°Ô ¸Â¹°¸®´Â °ÍÀº Áß¿äÇÑ Àǹ̸¦ °¡Áý´Ï´Ù. Ä¡¾Æ°¡ °í¸£Áö ¸øÇÑ °æ¿ì ¾çÄ¡Áú·Î Ä¡¾Æ¸¦ °ü¸®ÇϱⰡ ¾î·Æ°í µû¶ó¼­ ÃæÄ¡³ª dzġ°¡ Àß ¹ß»ýÇÏ°Ô µË´Ï´Ù. ¾çÄ¡Áú·Î °ü¸®°¡ Àß µÇÁö ¾Ê´Â °÷¿¡¼­´Â ÀÔ ³¿»õ¸¦ À¯¹ßÇϱ⵵ ÇÕ´Ï´Ù. Ä¡¾Æ°¡ °í¸£Áö ¾Ê¾Æ¼­ ¾î´À ƯÁ¤ Ä¡¾Æ°¡ °úµµÇÏ°Ô ÈûÀ» ¹Þ°Ô µÉ °æ¿ì Ä¡¾Æ°¡ »óÇÒ °¡´É¼ºÀÌ ³ô½À´Ï´Ù. µû¶ó¼­ Ä¡¾Æ ±³Á¤Àº ½É¹ÌÀûÀÎ ¸ñÀû»Ó¸¸ ¾Æ´Ï¶ó ±¸°­ °Ç°­À» À¯ÁöÇϱâ À§Çؼ­µµ ÇÊ¿äÇÑ Ä¡·áÀÔ´Ï´Ù.
Ä¡¾Æ¿¡ ±Ý¼Ó ºê¶óÄÏÀ» ºÙÀÌ°í ¿ÍÀ̾ ¿¬°áÇÏ¿© Ä¡¾Æ¸¦ ¿òÁ÷ÀÌ´Â ¹æ¹ýÀÔ´Ï´Ù. ÀåÄ¡°¡ ´«¿¡ Àß ¶ç¾î ½É¹ÌÀûÀÌÁö´Â ¾ÊÁö¸¸ ±³Á¤ È¿À²Àº ÁÁÀº ¹æ¹ýÀÔ´Ï´Ù.
Ä¡¾Æ¿¡ ºÙÀÌ´Â ºê¶óÄÏÀ» Ä¡¾Æ»öÀÌ ³ª´Â ¼¼¶ó¹ÍÀ¸·Î ºÙÀÓÀ¸·Î½á ÀåÄ¡°¡ ´«¿¡ ´ú ¶ç¾î ½É¹ÌÀûÀ¸·Î Ä¡·á¸¦ ¹ÞÀ¸½Ç ¼ö ÀÖ½À´Ï´Ù.
Ä¡¾Æ¿¡ ºÙÀÌ´Â ºê¶óÄÏÀ» Ä¡¾ÆÀÇ ¾ÈÂÊ¿¡ ºÙÀÓÀ¸·Î½á °Ñ¿¡¼­´Â ÀåÄ¡¸¦ ÀüÇô º¼ ¼ö ¾øµµ·Ï ±³Á¤ ÇÏ´Â ¹æ¹ýÀÔ´Ï´Ù. ¸Å¿ì ½É¹ÌÀûÀÌÁö¸¸ ¼øÃø ±³Á¤¿¡ ºñÇØ Ä¡·á ±â°£ÀÌ Á¶±Ý ´õ °É¸± ¼ö ÀÖ½À´Ï´Ù.
Ä¡¾Æ¸¦ ¾à°£¸¸ ¿òÁ÷ÀÌ¸é µÇ´Â °æ¿ì¿¡ À־ Ä¡¾Æ¿¡ ÀåÄ¡¸¦ ºÙÀÌÁö ¾Ê°í Ư¼ö Á¦ÀÛµÈ Åõ¸íÇÑ ÇÃ¶ó½ºÆ½ ƲÀ» Ä¡¾Æ¿¡ ³¢¿òÀ¸·Î½á ±³Á¤À» ÇÏ´Â ¹æ¹ýÀÔ´Ï´Ù. ÀåÄ¡¸¦ ºÙÀÌÁö ¾ÊÀ¸¹Ç·Î ¸Å¿ì ½É¹ÌÀûÀÌÁö¸¸ Åõ¸í±³Á¤ÀÌ °¡´ÉÇÑÁö´Â ±³Á¤ Àü¹®ÀÇ¿ÍÀÇ Á¤¹ÐÇÑ »ó´ãÀÌ ÇÊ¿äÇÕ´Ï´Ù.
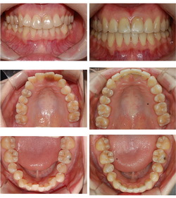
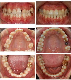
±³Á¤Ä¡·áÀÇ Çʿ伺ÀÌ ÀÖ´Ù°í ÆÇ´ÜµÇ¸é Áø´ÜÁغñ¸¦ À§ÇØ Á¤¹Ð °Ë»ç¸¦ ½ÃÇàÇÕ´Ï´Ù. ÀÚ·áÀÇ ¼öÁýÀ» À§ÇØ ¿©·¯ ÀåÀÇ ¹æ»ç¼± »çÁø°ú Ä«¸Þ¶ó ÃÔ¿µ, ±×¸®°í ¼®°í ¸ðÇüÀÇ Ã¤µæÀ» ½ÃÇàÇÕ´Ï´Ù.
¹æ»ç¼± »çÁø°ú ¼®°í ¸ðµ¨, ±×¸®°í ¾È¸ð »çÁøÀ» ÅëÇÏ¿© ȯÀÚÀÇ »óŸ¦ Á¤È®ÇÏ°Ô Áø´ÜÇϰí, ±× °á°ú¿¡ µû¶ó °¡Àå ¾Ë¸ÂÀº Ä¡·á ¹æ¹ý°ú ±â°£À» °áÁ¤ÇÕ´Ï´Ù.
±³Á¤ÀÇ»ç¿Í ±³Á¤´ë»óÀÚ ¹× º¸È£ÀÚ°¡ ±³Á¤´ë»óÀÚ°¡ Áö´Ï°í ÀÖ´Â Ä¡¾Æ ¹× ¾ó±¼ÀÇ ¹®Á¦Á¡, Áø´Ü °á°ú, ±×¸®°í Ä¡·á°èȹÀ» ¼³¸í, È®ÀÎÇÑ ÈÄ¿¡ ±³Á¤Ä¡·á½ÃÇà ¿©ºÎ¸¦ °áÁ¤ÇÕ´Ï´Ù.
¼³¸íµÈ Ä¡·á°èȹÀ» Åä´ë·Î ±³Á¤ ÀåÄ¡°¡ ÀåÂøµÇ°í Ä¡·á°¡ ½ÃÀ۵˴ϴÙ. ÀåÄ¡ÀÇ ÀåÂøÀº Çʿ信 µû¶ó 1-2ȸ¿¡ °ÉÃÄ ÀÌ·ç¾îÁö¸ç 1ȸ¿¡ ºÙÀÌ´Â °æ¿ì 1½Ã°£Á¤µµ°¡ ¼Ò¿äµË´Ï´Ù. óÀ½ÀÇ ÀåÂø°ú Á¡°ËÀ» À§ÇÑ ±â°£À» Á¦¿ÜÇϰí´Â ´ëºÎºÐ 3-4ÁÖ °£°ÝÀ¸·Î ³»¿øÇÏ°Ô µÇ¸ç Ä¡·á½Ã°£Àº 10-20ºÐ Á¤µµ °É¸³´Ï´Ù.
±³Á¤ÀÇ»ç¿Í ´ë»óÀÚ°¡ ¸ðµÎ ¸¸Á·½º·¯¿î Ä¡·á°á°ú¸¦ ¾òÀº ÈÄ¿¡ ÀåÄ¡¸¦ Á¦°ÅÇÏ°Ô µÇ¸ç, ÀÌ ¶§ 1½Ã°£Á¤µµÀÇ ½Ã°£ÀÌ ¼Ò¿äµË´Ï´Ù. óÀ½ÀÇ »óÅÂ¿Í ºñ±³Çϰí Ä¡·á°á°ú¸¦ ºÐ¼®Çϱâ À§ÇØ ¹æ»ç¼± »çÁø, ¾È¸ð »çÁø ¹× ¼®°í ¸ðÇüÀ» Á¦ÀÛÇÏ°Ô µÇ¸ç, ÀåÄ¡Á¦°Å ÈÄ¿¡ °ð¹Ù·Î À¯ÁöÀåÄ¡¸¦ ÀåÂøÇÏ°Ô µË´Ï´Ù.
¸®Å×À̳ʶó°í ºÒ¸®´Â À¯ÁöÀåÄ¡´Â Ä¡·á±â°£, ºÎÁ¤±³ÇÕÀÇ Á¤µµ µî¿¡ µû¶ó ª°Ô´Â 3°³¿ù¿¡¼­ ±æ°Ô´Â 1³â ÀÌ»óÀ» ÀåÂøÇÏ¿©¾ß ÇÕ´Ï´Ù. ±×·¯³ª ´ëºÎºÐ ÀåÄ¡°¡ °£´ÜÇϰí, º»ÀÎ ½º½º·Î ³¢¿ü´Ù°¡ »¬ ¼ö ÀÖÀ¸¹Ç·Î Ä¡·á¿Í´Â ´Ù¸£°Ô ºÒÆíÇÔÀº ±×¸® Å©Áö ¾Ê½À´Ï´Ù. Âø¿ë½Ã°£µµ óÀ½¿¡´Â Á¾ÀÏÂø¿ëÀÌ ±âº»ÀÌÁö¸¸ ±³Á¤ÀÇ»çÀÇ ÆÇ´Ü¿¡ µû¶ó Âø¿ë½Ã°£Àº Á¡Á¡ ÁÙ¾îµé ¼ö ÀÖ½À´Ï´Ù. À¯Áö ÀåÄ¡¸¦ ¼ÒȦÇÏ°Ô ÇÒ °æ¿ì °¡Áö·±ÇÏ°Ô ±³Á¤ Ä¡·áµÈ Ä¡¾Æ°¡ ¿ø·¡ ÀÚ¸®·Î µ¹¾Æ°¥ ¼ö ÀÖÀ¸¹Ç·Î Áß¿äÇÑ ±â°£À̶ó°í ÇÒ ¼ö ÀÖ½À´Ï´Ù.
Çʿ信 µû¶ó¼­ ±³Á¤ ÈÄ¿¡ ¹Ì¹éÀ̳ª Ä¡¾Æ¼ºÇü Ä¡·á¸¦ µ¿¹ÝÇÏ½Ç °æ¿ì ÈξÀ ¾Æ¸§´Ù¿î Ä¡¾Æ¸¦ °¡Áö½Ç ¼ö ÀÖ½À´Ï´Ù.

SSL Certificates
SSL Certificates