|
 |
> Àü¹®Áø·á > ÀÓÇöõÆ® |
|
|
 |
 |
 |
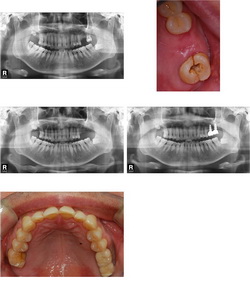
| ÀÓÇöõÆ® ¿©·¯°³, ... |
|
|
 |
| »ó¾Çµ¿ À̽ļú°ú ÀÓ... |
|
|
 |
| ¿À¸¥ÂÊ À§¾Æ·¡ ÀÓÇÃ... |
|
|
 |
| ¿ÞÂÊ ¾î±Ý´Ï À§¾Æ·¡... |
|
|
|
 |
 |
| ÀÓÇöõÆ®¶õ ÀΰøÄ¡¾Æ¸¦ ÀǹÌÇÕ´Ï´Ù. ¾Õ´Ï°¡ ºüÁ®¼ º¸±â¿¡ ¾È ÁÁÀº °÷À̳ª ¾î±Ý´Ï°¡ ¾ø¾î¼ ¾Ã±â ºÒÆíÇϽа÷¿¡ ÀΰøÄ¡¾Æ¸¦ ¸¸µé¾î ³ÖÀ» ¼ö ÀÖ½À´Ï´Ù. ¶ÇÇÑ ¾Ã±â Èûµé°í ºÒÆíÇÑ Æ²´Ï¸¦ ÀÓÇöõÆ®¸¦ ÀÌ¿ëÇÏ¿© °íÁ¤µÈ Ä¡¾Æ¸¦ ¸¸µé°Å³ª ¶Ç´Â ¾Ã±â ÁÁ°í ÆíÇÑ Æ²´Ï·Î ¸¸µå½Ç ¼öµµ ÀÖ½À´Ï´Ù. |
| ÀÓÇöõÆ®´Â ƼŸ´½À̶ó´Â ±Ý¼ÓÀ¸·Î ¸¸µé¾îÁ® ÀÖÀ¸¸ç ÀÎü¿Í ¸Å¿ì Ä£¹ÐÇÏ°Ô °áÇÕÇÏ´Â ±Ý¼ÓÀ¸·Î »À¿Í ¿ÏÀüÈ÷ °áÇÕÇÏ´Â ¼ºÁúÀ» °¡Áö°í ÀÖ½À´Ï´Ù. »Ñ¸®°¡ ¾ø´Â °÷¿¡ Àΰø »Ñ¸®ÀÇ ¿ªÇÒÀ» ÇÏ°Ô µÇ¸ç ±× À§¿¡ º¸Ã¶¹°À» ÇØ ³Ö°Ô µË´Ï´Ù. ÀÓÇöõÆ®´Â ¿ø·¡ ÀÚ±â Ä¡¾Æ·Î ¾Ã´Â ÈûÀ» ȸº¹½ÃÄÑ ÁÙ ¼ö ÀÖ½À´Ï´Ù.
|
 |
| ÀÓÇöõÆ®´Â ÇÊ¿äÇÑ °÷¿¡ Àΰø »Ñ¸®¸¦ ¸¸µé¾îÁÖ°í ±× À§¿¡ º¸Ã¶À» Çϱ⠶§¹®¿¡ ´Ù¸¥ Ä¡¾Æ¿¡ ÀüÇô ¿µÇâÀ» ÁÖÁö ¾Ê½À´Ï´Ù. ÀÓÇöõÆ®°¡ °³¹ßµÇ±â Àü¿¡ ÀϹÝÀûÀ¸·Î ½ÃÇàµÇ¾ú´ø Àç·¡½Ä ºê¸´Áö´Â ¾çÂÊÀÇ °ÇÀüÇÑ Ä¡¾Æ¸¦ »ó´ç·® »èÁ¦ÇÑ ÈÄ ÇÔ²² º¸Ã¶À» ÇØ¾ß ÇϹǷΠ¾çÂÊ Ä¡¾Æ¿¡ ¼Õ»óÀ» ÁÖ¾ú½À´Ï´Ù. ¶ÇÇÑ Àç·¡½Ä ºê¸´ÁöÀÇ °æ¿ì ¾çÂÊÀÇ Ä¡¾Æ »Ñ¸®°¡ ¾ø´Â °÷ÀÇ ¾Ã´Â Èûµµ ÇÔ²² °ßµ®¾ß ÇϹǷΠ»Ñ¸®°¡ ½±°Ô ¸Á°¡Áú ¼ö ÀÖÀ¸¸ç, Ä¡¾Æ »Ñ¸®°¡ ¾ø´Â ºÎÀ§¿¡¼ÀÇ »À ¼Õ½ÇÀÌ Áö¼ÓÀûÀ¸·Î ¹ß»ýÇÕ´Ï´Ù. |
| ÀÓÇöõÆ®´Â ¾Ã´Â ÈûÀ» ¿ø»óÅ·Πȸº¹½ÃÄÑ ÁÝ´Ï´Ù. ÀÏ¹Ý Æ²´Ï¸¦ ÇÏ½Ç °æ¿ì¿¡´Â ¾Ã´Â ÈûÀ» 50%µµ ȸº¹ÇÏ±â ¾î·Æ½À´Ï´Ù. µû¶ó¼ ÀÏ¹Ý Æ²´Ï¸¦ Àß ¾²°í °è¼Ì´ø ºÐµµ ÀÓÇöõÆ®·Î ±³Ã¼ÇÏ½Ã¸é ¾Ã´Â ÈûÀ» 2¹è ÀÌ»ó Çâ»ó½ÃŰ½Ç ¼ö ÀÖ½À´Ï´Ù.
ÀÓÇöõÆ®´Â ½±°Ô Å»¶ôÇϴ Ʋ´Ï¸¦ Àâ¾ÆÁÖ¾î Æ²´Ï°¡ ¿òÁ÷ÀÌÁö ¾Ê°í Àß ±â´ÉÇÒ ¼ö ÀÖ°Ô µµ¿ÍÁÝ´Ï´Ù. ÀÏ¹ÝÆ²´Ï Áß¿¡¼ ƯÈ÷ ¾Æ·¡ Ʋ´Ï´Â Ʋ´Ï°¡ ¾ÈÂøµÇ´Â ¸éÀûÀÌ À۾Ƽ ½±°Ô Å»¶ôµÇ°í ¿òÁ÷¿©¼ ÅëÁõ°ú ÀúÀÛ±â´É Àå¾ÖÀÇ ¿øÀÎÀÌ µË´Ï´Ù. À̸¦ ÀÓÇöõÆ®¸¦ ÀÌ¿ëÇÑ Æ²´Ï ¶Ç´Â ÀüºÎ ÀÓÇöõÆ®·Î ±³Ã¼ÇÏ½Ã¸é ´õ Æí¾ÈÇÏ°Ô À½½Ä¹°À» µå½Ç ¼ö ÀÖ½À´Ï´Ù.
|
 |
 |
 |
 |
 |
 |
 |
 |
 |
| ÀÓÇöõÆ®´Â ÀÚ½ÅÀÇ »À¿¡ Àΰø Ä¡¾Æ¸¦ ¸¸µé°Ô µÇ´Â °ÍÀ̹ǷΠÀûÀýÇÑ ¾çÀÇ »À°¡ ÀÖ¾î¾ß¸¸ °¡´ÉÇÕ´Ï´Ù. »À°¡ ºÎÁ·ÇÒ °æ¿ì Àΰø»À¸¦ ÀÌ¿ëÇÏ¿© »À¸¦ º¸°ÇÏ´Â ¼ú½ÄÀÌ Ãß°¡ÀûÀ¸·Î ÇÊ¿äÇÒ ¼ö ÀÖ½À´Ï´Ù. ¿©·¯ °¡Áö ¹æ»ç¼± »çÁø ¹× Áø´Ü¸ðµ¨À» ÅëÇØ¼ »À¿¡ ´ëÇØ Æò°¡Çϰí ÀÓÇöõÆ® °èȹÀ» ¼¼¿ì°Ô µË´Ï´Ù. |
 |
| Àΰø »Ñ¸®¸¦ ½É´Â ¼ö¼úÀÔ´Ï´Ù. »À¿¡ Àû´ç·®ÀÇ ±¸¸ÛÀ» ¶Õ°í Àΰø »Ñ¸®¸¦ ½É¾îµÎ°Ô µË´Ï´Ù. Ä¡¾Æ ÁÖÀ§¿¡ ¿°ÁõÀÌ ½ÉÇÏÁö ¾ÊÀ¸¸é Ä¡¾Æ¸¦ »Ì°í ´çÀÏ¿¡ ¹Ù·Î ÀÓÇöõÆ®¸¦ ½Ä¸³ÇÏ´Â °æ¿ìµµ ÀÖ½À´Ï´Ù. ÀÌÈÄ ¾Æ·¡ Åο¡¼´Â 2-3°³¿ù, ÀÅο¡¼´Â 4-6°³¿ùÀÇ Ä¡À¯±â°£ÀÌ ÇÊ¿äÇÏ¸ç »ÀÀ̽ÄÀ» Çß´Ù¸é Á» ´õ ¿À·£ ±â°£µ¿¾È ±â´Ù·Á¾ß ÇÏ´Â °æ¿ìµµ ÀÖ½À´Ï´Ù. ÀϹÝÀûÀ¸·Î ÀÌ ±â°£ Áß¿¡´Â ÀÓÇöõÆ®°¡ ÈûÀ» ¹ÞÀ¸¸é Ä¡À¯¿¡ ¹æÇذ¡ µÇ±â ¶§¹®¿¡ º¸Ã¶¹°À» Á¦ÀÛÇÏÁö ¾ÊÀº »óÅ¿¡¼ Ä¡À¯¸¦ ½ÃŰÁö¸¸ ¾Õ´Ï¿Í °°ÀÌ ½É¹ÌÀûÀÎ ¹®Á¦°¡ Àְųª ¶Ç´Â ¿©·¯ °³ÀÇ ÀÓÇöõÆ®¸¦ ÀÌ¿ëÇÏ°Ô µÇ´Â °æ¿ì ¹Ù·Î º¸Ã¶¹°À» Á¦ÀÛÇÒ ¼ö ÀÖ´Â °æ¿ìµéµµ ÀÖ½À´Ï´Ù. |
 |
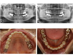
| »À¿¡ ¹¯Çô ÀÖ´Â ÀÓÇöõÆ®¿¡ ´Ù¸¥ ºÎ¼Ó¹°µéÀ» ¿¬°áÇÏ¿© ÀÕ¸ö ¹ÛÀ¸·Î ³ëÃâ½ÃŰ´Â ¼ö¼úÀÔ´Ï´Ù. ¿¹Àü¿¡´Â ¸¹ÀÌ ½ÃÇàÇßÀ¸³ª ¿äÁò¿¡´Â ÀÓÇöõÆ®¿Í ¼ö¼ú Å×Å©´ÐÀÇ ¹ß´Þ·Î ÀÎÇØ 2Â÷ ¼ö¼ú ¾øÀÌ ÇѹøÀÇ ¼ö¼ú·Î ³¡³»´Â °æ¿ìµµ ¸¹½À´Ï´Ù. Á¤È®Çϰí ÃæºÐÇÑ °Ë»ç ÈÄ¿¡ ¼ö¼úÀÇ È¸¼ö¸¦ °áÁ¤ÇÏ°Ô µË´Ï´Ù. |
 |
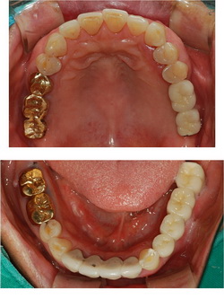
| 2Â÷ ¼ö¼ú ÈÄ ÀÕ¸öÀÌ ¾Æ¹°¸é º¸Ã¶¹°À» Á¦ÀÛÇÏ°Ô µË´Ï´Ù. ¿©±â¼ ºÎÅÍ´Â ÀÏ¹Ý º¸Ã¶¹° Á¦ÀÛ°ú µ¿ÀÏÇÏ¸ç µû¶ó¼ ±Ý´Ïµµ °¡´ÉÇϰí Ä¡¾Æ»öÀÌ ³ª´Â º¸Ã¶¹°µµ ¸ðµÎ °¡´ÉÇÕ´Ï´Ù. º¸Ã¶¹°Àº ´ëºÎºÐ °íÁ¤µÇ´Â º¸Ã¶¹°À» Á¦ÀÛÇϳª, Ä¡¾Æ°¡ Çϳªµµ ¾ø´Â °æ¿ì¿¡ ÀÖ¾î¼ ÀÓÇöõÆ® °³¼ö¿¡ µû¶ó¼ Ʋ´Ï Çü½ÄÀ¸·Î Á¦ÀÛÇÏ´Â °æ¿ìµµ ÀÖ½À´Ï´Ù. Ʋ´Ï Çü½ÄÀ¸·Î Á¦ÀÛÇÏ°Ô µÇ´õ¶óµµ ¾Ã´Â Èû°ú À¯Áö·ÂÀº ÀÏ¹Ý Æ²´Ïº¸´Ù ¿ì¼öÇÕ´Ï´Ù. |
 |
| ÀÓÇöõÆ® Ä¡·á¸¦ ¹Þ¾Ò´Ù°í ³¡ÀÌ ¾Æ´Õ´Ï´Ù. ÀÓÇöõÆ®µµ ÀÚ¿¬Ä¡¾Æ¿Í °°ÀÌ ÀÕ¸öÁúȯÀÌ ¹ß»ýÇÒ ¼ö ÀÖÀ¸¸ç, ¾Ã´Â ¸éÀÌ ÆÄÀýµÇ°Å³ª ºÎ¼Ó¹°µéÀÌ ¸¶¸ðµÉ ¼ö ÀÖ½À´Ï´Ù. µû¶ó¼ Á¤±âÀûÀ¸·Î Ä¡°ú¿¡ ³»¿øÇÏ¿© °Ë»ç¸¦ ¹Þ¾Æ¾ß Çϸç Áý¿¡¼µµ ²ÙÁØÇÑ °ü¸®°¡ ÇÊ¿äÇÕ´Ï´Ù. |
|
|
|
|