|
 |
> Àü¹®Áø·á > Ä¡¾Æ¼ºÇü |
|
|
 |
 |
 |
| ·¹ÁøÀ» ÀÌ¿ëÇÑ °ø°£... |
|
|
 |
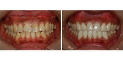
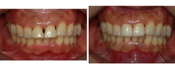
| Ä¡¾Æ¼ºÇü ÀÕ¸ö¼ºÇü |
|
|
 |
| ¾Õ´Ï Ä¡¾Æ ¼ºÇü |
|
|
 |
| ¾Õ´Ï 2°³ °ø°£ ¸Þ¿ì... |
|
|
|
 |
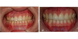
| Ä¡¾Æ ¼ºÇüÀº ¿ôÀ» ¶§ º¸ÀÌ´Â Ä¡¾Æµé¿¡ ÀÖ¾î¼ Ä¡¾Æ¸¦ Á»´õ ¾Æ¸§´ä°Ô º¸À̵µ·Ï Çϱâ À§ÇÑ Ä¡·áÀÔ´Ï´Ù. µû¶ó¼ Ä¡¾Æ¸¦ ´õ ÇϾé°Ô ¸¸µé¾î Áְųª ¸ð¾çÀ» °¡Áö·±ÇÏ°Ô ¸¸µé¾î ÁÖ°í ½ÍÀ»¶§ Ãßõ µå¸± ¼ö ÀÖ½À´Ï´Ù. |
 |
| ¶ó¹Ì³×ÀÌÆ®´Â Ä¡¾Æ¸¦ Á»´õ ÇϾé°Ô ¸¸µé¾î Áְųª ¸ð¾ç¿¡ º¯È¸¦ ÁÙ¶§ ±âÁ¸ÀÇ ¹æ¹ýó·³ Ä¡¾Æ Àüü¸¦ »èÁ¦ÇÏÁö ¾Ê°í Ä¡¾ÆÀÇ ¾Õ¸é¸¸À» ¾ã°Ô(0.5mmÁ¤µµ) »èÁ¦ÇÑ ÈÄ º¸Ã¶¹°À» ¸¸µé¾î ºÙÀÌ´Â ¹æ¹ýÀÔ´Ï´Ù. ¼ÕÅéÀ» ºÙÀÌ´Â °Í°ú ºñ½ÁÇÑ ¹æ¹ýÀ̶ó°í »ý°¢ÇÏ½Ã¸é µË´Ï´Ù.
ÁÖ·Î ¾Õ´Ï »çÀ̰¡ ¹ú¾îÁ® ÀÖ´Â °æ¿ì³ª ¾Õ´Ï°¡ ´Ù¸¥ Ä¡¾Æµé º¸´Ù ÀÛ°Ô »ý±ä °æ¿ì, ¶Ç´Â ¾Õ´Ï¿¡ º¯»öÀÌ ÀÖ´Â °æ¿ì¿¡ Ãßõ µå¸³´Ï´Ù.
ÇÏÁö¸¸ ¶ó¹Ì³×ÀÌÆ®´Â ¾Õ´Ï·Î ±ú¹°¾î ¸Ô°Å³ª ÇÏ½Ç °æ¿ì Å»¶ôÇÒ °¡´É¼ºÀÌ Àֱ⠶§¹®¿¡ »ç¿ë»ó ÁÖÀǸ¦ ¿äÇÕ´Ï´Ù.
|
 |
 |
| ¿Ã¼¼¶ó¹ÍÀº º¸Ã¶¹°¿¡ ±Ý¼ÓÀÌ Æ÷ÇÔµÇÁö ¾ÊÀº °ÍÀ» ÀǹÌÇÕ´Ï´Ù. ±âÁ¸¿¡ ¸¹ÀÌ »ç¿ëÇØ¿À´ø Ä¡¾Æ»öÀÇ º¸Ã¶¹°¿¡´Â °µµ¸¦ À§ÇØ ³»ºÎ¿¡ ±ÝÀ̳ª ´Ù¸¥ ±Ý¼ÓÀ» ÷°¡ÇÏ´Â °æ¿ì°¡ ¸¹¾ÒÀ¸³ª, ÀÌ·¯ÇÑ ±Ý¼ÓÀ¸·Î ÀÎÇØ ½É¹Ì¼ºÀÌ ¾à°£ ¶³¾îÁ³½À´Ï´Ù. ¿Ã¼¼¶ó¹ÍÀº ³»ºÎ¿¡ ±Ý¼ÓÀÌ ¾Æ´Ï¶ó ¾Ë·ç¹Ì³ª³ª Áö¸£ÄÚ´½ °°Àº ÀüºÎ µµÀÚ±â·Î µÈ »À´ë¸¦ ÀÌ¿ëÇÏ¿© ±× À§¿¡ µµÀڱ⸦ ¿Ã·Á¼, ºûÀÇ Åõ°ú·®ÀÌ ¸¹¾Æ Áö°Ô ÇÑ º¸Ã¶¹°ÀÔ´Ï´Ù.ÀÚ¿¬Ä¡¿Í À¯»çÇÑ ºû Åõ°úÀ²À» º¸¿©¼ ÀÚ¿¬Ä¡¿Í À¯»çÇÑ »ö»óÀ» ¶ç¸ç,½É¹ÌÀûÀ¸·Îµµ ¿ì¼öÇÑ º¸Ã¶¹°ÀÔ´Ï´Ù.
¶ó¹Ì³×ÀÌÆ®¿¡ ºñÇØ »èÁ¦·®ÀÌ ¸¹Áö¸¸,¶ó¹Ì³×ÀÌÆ®¿¡ ºñÇØ ¶³¾îÁú °¡´É¼ºÀÌ °ÅÀǾøÀ¸¸ç, ¸ð¾çÀÇ º¯È¸¦ Á» ´õ ÁÙ ¼ö ÀÖ½À´Ï´Ù. |
 |
 |
| ¿¹ÀüºÎÅÍ ÇØ¿À´ø ÀϹÝÀûÀÎ Ä¡¾Æ»ö º¸Ã¶¹°ÀÔ´Ï´Ù. °µµ¸¦ À§Çؼ ³»ºÎ¿¡ ±Ý¶Ç´Â ´Ù¸¥ ÇÕ±ÝÀ» ÀÌ¿ëÇØ º¸°ÇÑ ÈÄ ±× À§¿¡ µµÀڱ⸦ Çѹø ´õ ±¸¿î °ÍÀÔ´Ï´Ù. ±ÝÀº »ýüģȵµ°¡ °¡Àå ÁÁÀº ±Ý¼ÓÀ¸·Î½á ¿°Áõ ¹ÝÀÀÀÌ Àû°í ±× »öµµ ¹à¾Æ¼ °Ñ¿¡ µµÀڱ⸦ ¾º¿ï °æ¿ì ½É¹Ì¼ºÀÌ ÁÁ½À´Ï´Ù. ƯÈ÷ Ä¡¾Æ°¡ ³»ºÎ±îÁö º¯»öÀÌ ÀÏ¾î³ °æ¿ì¿¡´Â ¿Ã¼¼¶ó¹ÍÀ» ÇÒ °æ¿ì ³»ºÎ Ä¡¾ÆÀÇ »öÀÌ ºñÃĺ¸ÀÏ ¼ö°¡ Àִµ¥ ±Ý¼Ó µµÀç°üÀÇ °æ¿ì ³»ºÎ Ä¡¾Æ »öÀ» ±ÝÀÌ Çѹø ¸·¾ÆÁÖ¾î ½É¹ÌÀûÀÎ º¸Ã¶¹°À» Á¦ÀÛ ÇÒ ¼ö°¡ ÀÖ½À´Ï´Ù. |
 |
±âÁ¸ Ä¡°ú¿ë Çձݿ¡ »ç¿ëÇÏ´ø ´ÏÄÌ, Å©·Ò µî Á߱ݼӿ¡ ¾Ë·¯Áö°¡ Àִ ȯÀںеéÀº »ýü ģȼºÀÌ ³ôÀº Àç·á°¡ ÇʼöÀûÀ̶ó°í ÇÒ ¼ö ÀÖ½À´Ï´Ù. ÀÌ·± ºÐµéÀ» À§ÇØ ¼ø±Ý(24K)À» ÀÌ¿ëÇÏ¿© ³»ºÎ¸¦ ¸¸µé°í ±× À§¿¡ µµÀڱ⸦ ÀÔÈ÷´Â GES Å©¶ó¿îÀ» ½Ã¼úÇÒ ¼ö ÀÖ½À´Ï´Ù.
±âÁ¸ÀÇ ¹æ½ÄÀÌ ¾Æ´Ñ Àü±âºÐÇØ ¹æ¹ýÀ¸·Î Á¦ÀÛÇϱ⠶§¹®¿¡ ´õ¿í Àß ¸Â°í, ¿Ã¼¼¶ó¹Í Å©¶ó¿îº¸´Ù´Â °µµ°¡ ÁÁÀº º¸Ã¶¹°À» ¾òÀ» ¼ö ÀÖ½À´Ï´Ù. ¿Ã¼¼¶ó¹Í Å©¶ó¿îÀÇ ÆÄÀýÀÌ °ÆÁ¤µÇ½Ã´Â ºÐÀ̳ª, Ä¡¾Æ »èÁ¦¸¦ ¸¹ÀÌ ÇÒ ¼ö ¾ø´Â °æ¿ì ÃßõµÈ´Ù°í ÇÒ ¼ö ÀÖ½À´Ï´Ù. |
 |
 |
Ä¡¾ÆÀÇ »óÅ¿¡ µû¶ó ¶ó¹Ì³×ÀÌÆ®¸¦ ÇÏ°Ô µÉÁö ¶Ç´Â ¿Ã¼¼¶ó¹Í ¶Ç´Â GES Å©¶ó¿îÀ» ÇÏ°Ô µÉÁö°¡ °áÁ¤µË´Ï´Ù.
¾î´À °ÍÀ¸·Î ÇÒÁö´Â ÁÖÄ¡ÀÇ¿Í »óÀÇ ÈÄ °áÁ¤ÇÏ¼Å¾ß Çϸç, ȯÀÚ º»ÀÎÀÌ ±»ÀÌ ¿ì°Ü¼ ÇÏ½Ã¸é ³ªÁß¿¡ Àå±âÀûÀ¸·Î ¿¹Èİ¡ ÁÁÁö ¾ÊÀ» ¼ö ÀÖ½À´Ï´Ù.
ÀϹÝÀûÀÎ ¼ºÇü°ú ¸¶Âù°¡Áö·Î Ä¡¾Æ ¼ºÇüÄ¡·áµµ ¸Å¿ì ½ÅÁßÇÑ Ä¡·á °áÁ¤ÀÌ ÇÊ¿äÇÕ´Ï´Ù. Ä¡·á Àü¿¡´Â ÀÇ»ç¿Í ÃæºÐÇÑ »ó´ãÀ» ¹ÞÀ¸½Å ÀÌÈÄ¿¡ Ä¡·á¸¦ °áÁ¤ÇϽô °ÍÀÌ ÁÁ½À´Ï´Ù. |
|
|
|
|