|
 |
> ÀϹÝÁø·á > ÀÕ¸öÄ¡·á |
|
|
 |
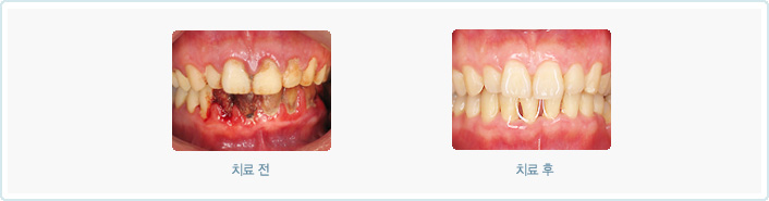
| Ä¡ÁÖ ÁúȯÀº Ä¡¾Æ¿¡ Ä§ÂøµÈ Ä¡ÅÂ(Çöó±×)¿¡¼ºÎÅÍ ½ÃÀ۵˴ϴÙ. ÀûÀýÇÑ Ä©¼ÖÁúÀÌ µÇÁö ¾Ê¾Æ ġŰ¡ Á¦°ÅµÇÁö ¾ÊÀ» °æ¿ì À̰ÍÀº ¼®È¸È µÇ¾î Ä¡¼®À¸·Î º¯Çϰí Á¡Á¡ ÀÕ¸ö ¼ÓÀ¸·Î ÆÄ°í µé¾î°¡¸ç ÀÚ¶ó°Ô µË´Ï´Ù. ÀÌ Ä¡¼®Àº Ä¡¾Æ Ç¥¸éÀ» °ÅÄ¥°Ô ¸¸µé¾î¼ ´õ ¸¹Àº ġŰ¡ Ä§ÂøµÇ°Ô Çϸç ÀÕ¸ö¿¡ ¿°ÁõÀÌ ¹ß»ýÇϸç À̸¦ Ä¡Àº¿°À̶ó°í ÇÕ´Ï´Ù.
|
| Ä¡Àº¿°ÀÌ ´õ ÁøÇà µÉ °æ¿ì ¿°ÁõÀ¸·Î ÀÎÇØ ÀÕ¸ö°ú Ä¡¾Æ »çÀÌ¿¡ ÁÖ¸Ó´Ï °°Àº °ø°£ÀÌ »ý±â°Ô µÇ¸ç À̸¦ Ä¡ÁÖ³¶À̶ó ÇÏ°í ´õ ÁøÇà µÉ °æ¿ì Ä¡¾Æ¸¦ °¨½Î°í ÀÖ´Â ÀÕ¸ö»À¸¦ ³ìÀÌ°Ô µË´Ï´Ù. À̸¦ Ä¡ÁÖ¿°À̶ó°í Çϸç, ÀÕ¸ö»À°¡ °è¼Ó ³ì°Ô µÇ¸é Ä¡¾Æ°¡ ¾àÇØÁ®¼ Èçµé¸®´Â Áõ»óÀÌ »ý±â°Ô µË´Ï´Ù.
|
 |
 |
| Ä¡ÁÖ¿°Àº ÀϹÝÀûÀ¸·Î ÀÕ¸ö»À°¡ ¸¹ÀÌ ³ì¾Æ¼ Ä¡¾Æ°¡ Èçµé¸®°í ¾ÆÆÄÁú ¶§ ±îÁö º° ´Ù¸¥ Áõ»óÀÌ »ý±âÁö ¾Ê½À´Ï´Ù. ´ÜÁö ¾çÄ¡Áú½Ã ÀÕ¸ö¿¡¼ Çǰ¡ ³ª´Â Á¤µµÀ̰ųª ¾à°£ ½Ã¸° Áõ»óÀÌ »ý±æ ¼ö´Â ÀÖÁö¸¸ »ýȰ¿¡ Å« ÁöÀåÀ» ÁÖÁö ¾Ê½À´Ï´Ù. µû¶ó¼ ´ëºÎºÐÀÇ È¯ÀÚµéÀº Ä¡·á½Ã±â¸¦ ³õÄ£ ÈÄ¿¡ Ä¡°ú¿¡ ¿À½Ã´Â °æ¿ì°¡ ¸¹½À´Ï´Ù. |
 |
| ÀÕ¸ö Ä¡·á¶õ °£´ÜÇÏ°Ô ¸»Çؼ Ä¡¾Æ¿¡ »ý°ÜÀÖ´Â Ä¡¼®À» ±ú²ýÇÏ°Ô Á¦°ÅÇϰí Ä¡ÁÖ³¶À» ¾ø¾ÖÁÖ´Â Ä¡·á¸¦ ¸»ÇÕ´Ï´Ù. ½ºÄÉÀϸµ, Ä¡±Ù ȰÅüú, Ä¡ÁÖ ¼ö¼ú µîÀ¸·Î ÀÌ·ç¾îÁý´Ï´Ù.
|
| Ä¡ÁÖ¿°Àº °íÇ÷¾Ð, ´ç´¢¿Í °°ÀÌ ¸¸¼ºÀûÀÎ ÁúȯÀÌ¹Ç·Î ÃæÄ¡ Ä¡·áó·³ ´Ü±â°£¿¡ ¿ÏÄ¡¸¦ ÇÒ ¼ö ¾ø½À´Ï´Ù. Æò»ý °ü¸®¸¦ »ý°¢ÇÏ½Ã°í ¹ÞÀ¸¼Å¾ß Ä¡¾Æ¸¦ °Ç°ÇÏ°Ô À¯ÁöÇÏ½Ç ¼ö ÀÖ½À´Ï´Ù. ÀúÈñ ÇÏÀÌ¾È Ä¡°ú¿¡¼´Â Æò»ý Ä¡ÁÖ °ü¸®¸¦ Çϰí ÀÖ½À´Ï´Ù. ¾çÄ¡Áú ½Ã ÀÕ¸ö¿¡¼ Çǰ¡ ³ª°Å³ª Ä¡¾Æ°¡ ¾à°£ Èçµé¸®´Â °æ¿ì, »¡¸® Ä¡°ú¿¡ °¡¼ »ó´ãÀ» ¹ÞÀ¸½Ã´Â °ÍÀÌ ÁÁ½À´Ï´Ù.
|
 |
 |
1. ¾çÄ¡Áú ½Ã ÀÕ¸ö¿¡¼ Çǰ¡³´Ù.
2. ´Ü´ÜÇÑ °ÍÀ» ¾ÃÀ» ¶§ Ä¡¾Æ°¡ ÈûÀ» ¹ÞÁö ¸øÇÏ°í ¿òÁ÷ÀÌ´Â °Å °°´Ù.
3. ÀÕ¸öÀÌ ÁÖ±âÀûÀ¸·Î ºÎ¾ú´Ù °¡¶ó¾É¾Ò´Ù¸¦ ¹Ýº¹ÇÑ´Ù.
4. ÀÕ¸ö¿¡¼ Çǰ¡³ª´Â ºÎÀ§°¡ Âù¹°À» ¸¶½Ç ¶§ ½Ã¸®´Ù.
5. ÀÔ¿¡¼ ³¿»õ°¡ ³ª´Â °Í °°´Ù.
6. Ä¡¼®°ú ġŰ¡ ¸¹ÀÌ º¸ÀÌ°í ¾çÄ¡ÁúÀ» ÇØµµ Àß ¾ø¾îÁöÁö ¾Ê´Â´Ù.
|
 |
1. ¾ÆÄ§ Àú³áÀ¸·Î Àû¾îµµ 2¹ø, ƯÈ÷ Àú³á¿¡´Â 3ºÐÀÌ»ó ±æ°Ô ¾çÄ¡ÁúÀ» ÇϽʽÿÀ.
2. ÀÕ¸ö¿¡¼ Çǰ¡³ª´Â ºÎºÐÀº Ä¡½Ç¶Ç´Â Ä¡°£ Ä©¼ÖÀ» »ç¿ëÇϽʽÿÀ.
3. ´ã¹è´Â ÀÕ¸ö Áúȯ¿¡ ¸Å¿ì ¾È ÁÁÀ¸¹Ç·Î ²÷À¸½Ã´Â °ÍÀÌ ÁÁ½À´Ï´Ù.
4. Ä¡°ú¿¡¼ Ä¡ÁÖ¿°ÀÌ ¹ß»ýµÇÁö ¾Ê´ÂÁö Á¤±âÀûÀ¸·Î °ËÁøÀ» ÇϽʽÿÀ. (3-6°³¿ù °£°Ý)
5. Á¤±âÀûÀÎ ½ºÄÉÀϸµÀº Ä¡ÁÖ¿°À» ¿¹¹æÇÒ ¼ö ÀÖ½À´Ï´Ù. (3-6°³¿ù °£°Ý)
|
 |
| ½ºÄÉÀϸµÀº Ä¡¾Æ ÁÖÀ§¿¡ ºÎÂøµÈ Ä¡¼®¸¸À» Á¦°ÅÇÏ´Â °ÍÀ̸ç, Ä¡¾Æ¸¦ ±ï¾Æ ³»´Â °ÍÀÌ ¾Æ´Õ´Ï´Ù. ½ºÄÉÀϸµÀº ÀÚÁÖ Çϸé Ä¡¾Æ°¡ ³ªºüÁø´Ù´Â ¿ÀÇØ°¡ Àִµ¥ ÀüÇô ±×·¸Áö ¾Ê½À´Ï´Ù.
Ä¡ÁÖ ÁúȯÀÌ ÀÖÀ¸½Å ºÐÀÌ ½ºÄÉÀϸµÀ» ÇÏ½Ç °æ¿ì Ä¡¾Æ¿¡ ºÙ¾î ÀÖ´ø Ä¡¼®µéÀÌ Á¦°ÅµÇ¸é¼ ÀϽÃÀûÀ¸·Î ½Ã¸° Áõ»óÀÌ ³ªÅ¸³¯ ¼ö Àִµ¥, ÀÌ Áõ»ó ¶§¹®¿¡ Ä¡¾Æ°¡ ³ªºüÁø´Ù°í »ý°¢ÇϽô ºÐµéÀÌ °è½Å °Í °°½À´Ï´Ù. ÀÌ ½Ã¸° Áõ»óÀº ÀÕ¸ö ¿°ÁõÀÌ ÁÁ¾ÆÁü¿¡ µû¶ó ÇÔ²² ÁÁ¾ÆÁö´Ï °ÆÁ¤ ÇÏÁö¸¶½Ê½Ã¿À.
|
|
|
|
|